医療AI/DXサービスを医療関係者の皆様へお届けします。
本サイトはHAIPの試行運用として提供しております。
カタログサイトの評価アンケートにご回答いただける方はこちらをクリックお願いいたします(外部アンケートサイトへ移動します)
医療AI/DXサービスの情報を医療現場の皆様へお届けします。
件
管理医療機器
カーブジェン株式会社
AI画像解析技術を活用し、グラム染色像に対して菌種推定を支援する仕組みです。地域・病院独自のアンチバイオグラムと連携が可能です。
PoCGS®-Proは小型の自動グラム染色装置です。材料をスライドガラスに塗抹しPoCGS®-Proにセットすれば、短時間(約5分)で染色標本が完成。試薬滴下量・染色時間等は材料ごとに操作パネルで変更、登録も可能です。
非医療機器 導入事例あり
エニシア株式会社
みんなの地域連携室は、電子カルテの情報から、AIが紹介状等の医療文書の素案を自動で作成するサービスです。
非医療機器
カルテ構造化APIサービスは、カルテなどの医療テキスト(非構造化データ)を、利用者の目的に応じた構造化データに自動で整理します。
株式会社mutex
Rezeは、返戻・査定対応漏れ防止とレセプト業務効率化を実現する「AIレセプト業務支援Saas」です。
株式会社マイクロン
胸部CT画像から肺領域をセグメント化し、慢性閉塞性肺疾患(COPD)に関連する定量値を自動的に分析する医療画像解析ソフトウェアです。
SEVEN POINT ONE
AlzWINは、一分間の話し方の簡単なAIテストを通じて、最も迅速かつ正確に認知症の高リスク群を選別するソリューションです
一般医療機器
シンガポールのMeracle社が開発した、吸入速度に応じてライトが点灯する吸入補助デバイスです。
株式会社Medii
本サービスは、医師が院外や遠方の専門医に1対1のコンサルを受けられる完全無料のオンラインサービスです。
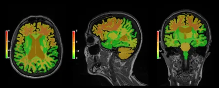
CTやMRIの脳血流画像から、脳血流パラメーターを自動計測、各種脳画像マップを作成して、診断に必要な情報を提供します。
MRI画像やCT画像から、脳容積や高信号領域の容積を自動計測して、診断治療に必要な情報を提供します。
シーメンスヘルスケア株式会社
脳に対するMR画像診断支援として転送された画像からAIアルゴリズムにより自動的に脳の形態解析を実行し、結果を出力。
胸部CT画像から肺や心臓、大動脈などの複数部位を一度に解析できるAI画像診断支援ソフトウェア。
高度管理医療機器
放射線治療計画における各臓器の輪郭抽出、デフォーマブルレジストレーションや4D-CTで撮影されたデータのコンツーリングが可能なアプリケーション
放射線治療計画における各臓器の輪郭抽出支援ソフトウェア。全身160以上の臓器に対応しており、一貫した高品質のOAR輪郭描出の実現が可能。
放射線技師同士や検査をサポートする放射線科医を繋ぎCTやMRIの検査の品質均一化と効率化を可能にする遠隔検査プロトコル支援システム
DICOMデータ(RDSR,RRDSR)を瞬時に分析し、各検査プロトコル、検査部位、装置ごと等の線量情報をモニタリングし、放射線科の線量管理業務をサポートします
株式会社Xenoma
着用するだけで電極が体の適切な箇所に配置される、3誘導によるホルター心電図の郵送検査です。医療従事者がいなくても、自分で装着し、24時間心電図計測が可能です。
メディカルシステム株式会社
電子カルテへ検査結果を簡単送信 『 eel up! 』は 院内測定の小型分析装置と電子カルテを連携する 『POCT機器連携システム』です
指定管理医療機器 導入事例あり
プラスマン合同会社
Plus.Lung.Nodule (CT-AI)は胸部CT画像に関心領域を表示し、肺結節やリンパ節等の視認性向上を図るプログラム医療機器です。
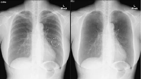
本製品は胸部単純X線写真の読影の際に医師に診断補助となる情報を提供するAIです。
kanata株式会社
kanaVoは、医師と患者の会話を分離して音声認識し、AIによりカルテ形式に要約するツールです。
指定管理医療機器
株式会社エムハート
AIアルゴリズムを用いたホルター心電図向け自動解析サービス。クラウドサービスのため初期費用は不要
日本光電工業株式会社
PrimePartnerで利用できる医療機器プログラムです。医用画像診断装置で撮影された画像の表示、計測と、心電図の導出18誘導を演算表示します。
株式会社エム
頭部MRI画像から認知症リスク因子となる脳全体の萎縮度と白質病変量を定量評価するサービスです。
富士フイルムメディカル株式会社
CT画像からCOVID-19肺炎の特徴的な画像所見を有する確信度と判定に寄与した領域を表示します。
エルピクセル株式会社
脳MRA画像より2mm以上の嚢状動脈瘤に類似した候補点を検出
白質高信号領域及びEvans index , Callosal angleを自動計測
頭部CT画像から 高吸収/低吸収領域及び組織構造・境界の不明瞭化がみられる領域の抽出
胸部CT画像から「関心領域」を抽出
胸部X線画像から肺結節候補域を検出
株式会社エムネス
現役放射線診断専門医が開発。医師同士、施設間、医師-患者間での医療情報を共有するプラットフォームです
下部内視鏡検査における病変と疑われる部分の検出と鑑別をリアルタイムに表示し、見落としを低減します。
【検査結果をスマホで見やすく!】 検査結果報告書に印刷された二次元バーコードを読み込むことで、 簡単に検査結果をアプリに取り込むことが出来ます
胸部CT画像から肋骨骨折の候補を検出して表示する機能です。医師が再確認することで見落しを低減します。
胸部CT画像から肺結節の候補を検出して表示する機能です。医師が再確認することで、見落しを低減します。
管理医療機器 導入事例あり
胸部単純X線画像を自動解析。結節・腫瘤影、浸潤影、気胸が疑われる領域を検出しマーキングします。
アンター株式会社
医療現場の判断を助ける、医師・医学生同士の質問解決プラットフォーム
使う方のニーズを多様なマスタ設定で実現!『長く使える臨床検査システム』をコンセプトに設計し【長期利用保証】を実現した『 新しい発想 』の臨床検査システムです!
コニカミノルタジャパン株式会社
AI技術を活用し、医療現場の胸部X線画像診断への 課題を解決したいという思いから生まれた 次世代画像解析技術です。
株式会社DONUTS
「とにかく軽快にサクサク動く」クラウド型電子カルテです。
ウィーメックスヘルスケアシステムズ株式会社
日本医師会ORCA管理機構のレセコンORCAと連携するクリニック向けクラウド型電子カルテです
「Hi-SEED W3 EX」は日々の業務をサポートすることにこだわったレセコン一体型電子カルテです
TXP Medical株式会社
NEXT Stage ER は、救命センタークラスの大病院救急外来に特化したシステムです。
救急隊と病院間の情報連携をスムーズにするシステムです。
MIG株式会社
神経原線維変化が最初期に起こる嗅内野の担う空間ナビゲーション機能をVRゴーグルを使って測定します。
メディフォン株式会社
医療者と外国人患者のコミュニケーションを円滑にする、医療に特化した多言語通訳+機械翻訳サービスです。
検査データなどをクラウドサーバに保存し、院内および院外から参照できる診療所向けのサービスです。
株式会社プレシジョン
著名医師2000名と作成した本格AI診療支援システム
株式会社Splink
本サービスは、頭部MRIを用いて記憶に関わりの深い海馬の体積をAIにより計測するサービスです。
胸部X線画像における包括的な読影支援を提供