医療従事者の属性確認
あなたは医療従事者ですか?
- 管理医療機器
- 診断/治療の質向上
- 画像診断補助
- 胸部
- 業務効率の向上
- 医療クラウドサービス

胸部X線画像病変検出ソフトウェア CXR-AID
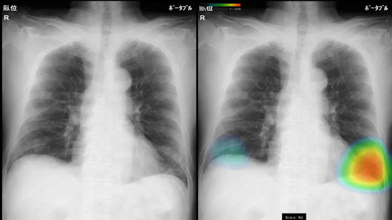
胸部単純X線画像を自動解析。結節・腫瘤影、浸潤影、気胸が疑われる領域を検出しマーキングします。
導入事例
利用環境、利用者
本製品は健診・診療で撮影した胸部単純X線画像をオンプレ/クラウド環境にて自動解析し、結節・腫瘤影、浸潤影、気胸が疑われる領域を検出しマーキングします。その領域を医師が再確認することで、見落し防止を支援します。
想定効果
本製品は医師の見落とし防止を支援します。
サービスの特長
(1)ヒートマップ表示、スコア表示機能 結節・腫瘤影、浸潤影、気胸の候補領域を検出し、それらの異常領域の存在の可能性(確信度)を青から赤までのグラデーションカラーで表示します。確信度が低いほど青く、高いほど赤く表示します。また、各検出領域に対応する確信度の最大値をスコアで表示します。 (2)3つの画像所見に対応 本ソフトウェアの検出対象は、主要な肺疾患の画像所見である結節・腫瘤影、浸潤影、気胸の3所見です。健康診断や日常診療などにおけるさまざまな胸部疾患の診療に幅広く活用いただけます。
効能・エビデンス
267 画像(正常例:195 例、異常例:72 例)を後向きに収集し、観察者 10名{専門医:3 名、専門外医(経験 10 年以上):3 名、専門外医(経験 5 年未満):4 名}で読影試験を実施し、本プログラムの有効性を評価した。対象所見に対する結果を以下に示す。 専門医の感度が74.7%から79.9%に上昇、 専門外医(経験10年以上)の感度が53.4%から72.6%に上昇、 専門外医(経験5年未満)の感度が58.1%から73.4%に上昇、 全体で感度が61.7%から75.1%に上昇した。
サービス利用上の注意事項
詳細は別途添付文書をご参照ください。
データの二次利用
解析のために読み込んだ画像を二次利用することはありません。
医療機器承認・認証番号
承認番号:30300BZX00188000 一般名:汎用画像診断装置ワークステーション用プログラム 製造販売業者住所:東京都港区西麻布2-26-30 富士フイルム西麻布ビル
動作環境
詳細は別途お問い合わせください。
規格とガイドライン
ISO/JIS Q 13485 IEC 62304/JIS T 2304 ISO14971/JIS T 14971 医用画像診断支援システム 開発ガイドライン2019
導入実績
「詳細説明希望」ボタンからお問い合わせください
想定利用施設規模
「詳細説明希望」ボタンからお問い合わせください
初期導入コスト
「詳細説明希望」ボタンからお問い合わせください
ランニングコスト
「詳細説明希望」ボタンからお問い合わせください
無料試用期間
「詳細説明希望」ボタンからお問い合わせください
更新日:

.DcHkBsHz_1a6XDA.webp)


