医療従事者の属性確認
あなたは医療従事者ですか?
- 指定管理医療機器
- 診断/治療の質向上
- 画像診断補助
- 胸部

EIRL Chest CT
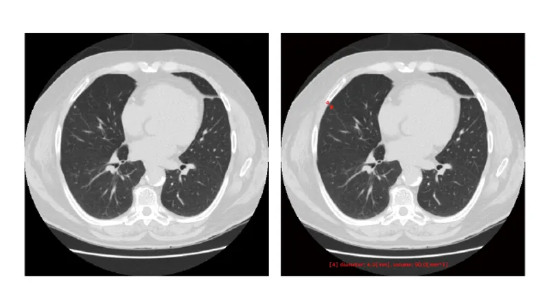
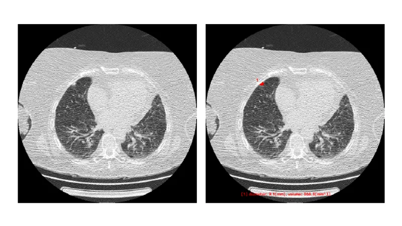
胸部CT画像から「関心領域」を抽出
利用環境、利用者
本サービスは画像診断ワークステーションで使用されるプログラムで、医師による胸部CT画像読影をサポートするサービスです。本品はクラウドでの使用又は汎用IT 機器等にインストールして使用します。
想定効果
本サービスは胸部 CT 画像における肺野領域の組織について、関心領域を抽出し体積と最大径を測定します。 また、関心領域の最大径が閾値以上であれば色付けを行います。
サービスの特長
本サービスは、医師が設定した基準値に基づいてCT値を元に関心領域を抽出し体積と最大径を自動計測します。 また、関心領域の最大径が医師が設定した閾値以上であれば色付けを行います。
効能・エビデンス
「詳細説明希望」ボタンからお問い合わせください
サービス利用上の注意事項
本サービスは、自動的に肺疾患を診断するプログラムではありません。本品の解析結果のみで診断を行わず、医師の責任において最終的な画像診断を行ってください。
データの二次利用
本サービスを利用したデータの二次利用はありません。
製品公式Webサイト
https://eirl.ai/ja/eirl-chest_ct/
医療機器承認・認証番号
認証番号:304AGBZX00037Z00 一般名:汎用画像診断装置ワークステーション用プログラム 製造販売業者住所:東京都千代田区大手町1丁目6番1号
動作環境
Ubuntu 20.04
規格とガイドライン
ISO/JIS Q 13485 IEC 62304/JIS T 2304 ISO14971/JIS T 14971
製造業者による医療情報セキュリティ開示書(MDS)チェックリスト
提供元にお問合せください
導入実績
全国の300を超える医療機関の実臨床で利用
想定利用施設規模
クリニック、急性期病院、健診施設など
初期導入コスト
「詳細説明希望」ボタンからお問い合わせください
ランニングコスト
「詳細説明希望」ボタンからお問い合わせください
無料試用期間
「詳細説明希望」ボタンからお問い合わせください
更新日:


