医療従事者の属性確認
あなたは医療従事者ですか?
- 指定管理医療機器
- 診断/治療の質向上
- 画像診断補助
- 胸部

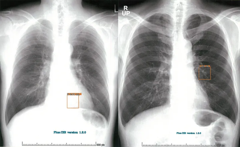
Plus.Lung.Nodule (CXR-AI)
本製品は胸部単純X線写真の読影の際に医師に診断補助となる情報を提供するAIです。
導入事例
利用環境、利用者
本製品はオンプレ環境にて提供され、胸部単純X線写真の読影の際に医師に診断補助となる情報を提供するAIです。
サービスの特長
心臓や横隔膜と重なる部分も対象です AUC91~96% Cardio-Throacic Ratioを自動計測します
サービス利用上の注意事項
本製品だけではなく必ず医師の責任の下診断を決定ください
データの二次利用
基本的に本製品に送信された胸部単純写真は解析後削除され、性能改善のための二次利用は行いません
製品公式Webサイト
https://plusmanllc.co.jp/cproducts/
医療機器承認・認証番号
認証番号:301AGBZX00004000 一般名:汎用画像診断装置ワークステーション用プログラム 製造販売業者住所:東京都千代田区平河町1丁目3番6号2階
動作環境
Windows10以上
製造業者による医療情報セキュリティ開示書(MDS)チェックリスト
提供元にお問合せください
導入実績
三重大学医学部附属病院、等
初期導入コスト
「詳細説明希望」ボタンからお問い合わせください
ランニングコスト
「詳細説明希望」ボタンからお問い合わせください
無料試用期間
「詳細説明希望」ボタンからお問い合わせください
更新日:



