医療従事者の属性確認
あなたは医療従事者ですか?
- 管理医療機器
- 診断/治療の質向上
- 画像診断補助
- 胸部

EIRL Chest Screening
胸部X線画像における包括的な読影支援を提供
利用環境、利用者
本サービスは画像診断ワークステーションで使用されるプログラムで、医師による胸部X線画像読影をサポートするサービスです。本品はクラウドでの使用又は汎用IT機器等にインストールして使用します。
想定効果
EIRL Chest Nodule: X線透視診断装置又はX線診断装置の胸部単純撮影画像用のコンピュータ検出支援(Computer Aided Detection:CAD)機能を有し、医師の見落とし防止の支援を行います。さらに過去に撮影された同一被験者の画像と比較し、肺結節候補域の経時的変化(増減)を表示します。 EIRL Chest Metry: 胸部 X 線の画像情報から胸腔内の空気含有領域の面積、肋骨横隔膜角、心胸郭比、縦隔幅、大動脈弓の径の計測・算出及び過去比較を出力します。 ※Chest Screeningは製品の総称
サービスの特長
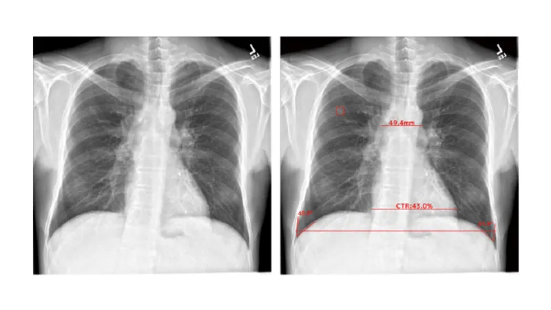
EIRL Chest Nodule: ・胸部X線画像から条件を満たす肺結節の形状に類似した領域(5mm〜30mmまで)[1]を検出し、医師による読影をサポートします。 ・過去に撮影された同一被験者の画像と比較し、肺結節候補域の経時的変化(増減)を表示します。 [1]浸潤性でないもの、胸部内で他臓器との重なりがない候補域に限る。 EIRL Chest Metry: 胸部X線画像の画像情報から、画像に基づく画素値の閾値処理を用いて以下(1)~(5)を計測・算出及び(6)を出力します。 (1)胸腔内の空気含有面積 (2)心胸郭比 (3)縦隔幅 (4)大動脈弓の径 (5)肋骨横隔膜角 (6)過去比較
効能・エビデンス
EIRL Chest Nodule: 医師単独で読影した場合と比べ、本ソフトウェアを用いて読影した場合には、放射線科専門医で9.95%、非専門医で13.1%の感度が上がることが認められました。また、診断精度の向上が認められました。 (感度の結果) ・CAD(コンピュータ検出支援機能)なし 合計:45.44% 放射線科専門医:47.10% 非専門医:43.78% ・CAD(コンピュータ検出支援機能)あり 合計:56.97% 放射線科専門医:57.05% 非専門医:56.88% ※現在提供しているver.より古いものでの結果
サービス利用上の注意事項
本品は胸部 X 線の画像情報から、肺結節の特徴をもつ領域を「候補領域」として示し肺結節の読影を支援するプログラムであり、自動的に肺結節を診断するプログラムではありません。本品の解析結果のみで診断を行わず、医師の責任において最終的な画像診断を行ってください。
データの二次利用
本サービスを利用したデータの二次利用はありません。
医療機器承認・認証番号
承認番号:30200BZX00269000 一般名:X線画像診断装置ワークステーション用プログラム 認証番号: 302AGBZX00101000 一般名:X線画像診断装置ワークステーション用プログラム 製造販売業者住所:東京都千代田区大手町1丁目6番1号
動作環境
Ubuntu 20.04
規格とガイドライン
ISO/JIS Q 13485 IEC 62304/JIS T 2304 ISO14971/JIS T 14971
製造業者による医療情報セキュリティ開示書(MDS)チェックリスト
提供元にお問合せください
導入実績
全国の300を超える医療機関の実臨床で利用
想定利用施設規模
クリニック、急性期病院、健診施設など
初期導入コスト
「詳細説明希望」ボタンからお問い合わせください
ランニングコスト
「詳細説明希望」ボタンからお問い合わせください
無料試用期間
「詳細説明希望」ボタンからお問い合わせください
更新日:

