医療従事者の属性確認
あなたは医療従事者ですか?
- 管理医療機器
- 診断補助
- 胸部
- 背部
- 一般内科/総合内科
- 整形外科
- 呼吸器科
- 循環器科
- 腫瘍科
- 救急科
- その他
- CT
- 患者説明補助
- 報告書作成補助

AI-Rad Companion Chest CT
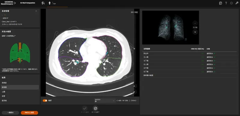
胸部CT画像から肺や心臓、大動脈などの複数部位を一度に解析できるAI画像診断支援ソフトウェア。
利用環境、利用者
肺結節の検出、及び肺、心臓、大動脈、胸椎骨における閾値に基づく分類、定量化、時系列化を行い、読影医の生産性(所要時間、診断正確性)の改善を目指します。
想定効果
医師の見落としの防止および読影医の生産性(所要時間、診断正確性)の改善を目指します。
サービスの特長
・複数の臓器に対する複数の解析を同時に行います。 (1)肺結節の検出 (2)肺葉内の低吸収領域の割合の計測 (3)肺密度の計測 (4)AHAガイドラインに準じた9か所の大動脈計測および上行下行大動脈それぞれの最大径の計測 (5)冠動脈石灰化領域の体積計測 (6)胸椎骨の高さ、平均CT値の計測 ・肺結節検出機能に関してはコンカレントリーダー型での読影が認可されています。
効能・エビデンス
お問い合わせください。
サービス利用上の注意事項
本ソフトウェアは医師の読影を補助する医療機器プログラムであり、診断を行う医療機器プログラムではありません。そのため、診断は医師の責任において行ってください。
データの二次利用
本サービスを利用したデータの二次利用はありません。
医療機器承認・認証番号
AI-Radコンパニオン 承認番号:30200BZX00202000 一般的名称:汎用画像診断装置ワークステーション用プログラム 製造販売業者住所:東京都品川区大崎1丁目11-1 AI-RadコンパニオンCT 認証番号:302AABZX00047000 一般的名称:汎用画像診断装置ワークステーション用プログラム 製造販売業者住所:東京都品川区大崎1丁目11-1 添付文書:https://www.info.pmda.go.jp/downfiles/md/PDF/340102/340102_302AABZX00047000_A_01_04.pdf
動作環境
クラウド型(もしくはオンプレミス型)にて提供。詳細はお問い合わせください。
規格とガイドライン
ISO/JIS Q 9001 ISO/JIS Q 13485 IEC 62304/JIS T 2304
サービス事業者による医療情報セキュリティ開示書(SDS)チェックリスト
お問い合わせください。
導入実績
お問い合わせください。
想定利用施設規模
お問い合わせください。
初期導入コスト
お問い合わせください。
ランニングコスト
お問い合わせください。
無料試用期間
お問い合わせください。
更新日:




