医療従事者の属性確認
あなたは医療従事者ですか?
- 指定管理医療機器
- 診断/治療の質向上
- 画像診断補助
- 頭部
- CT

EIRL Brain Segmentation
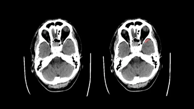
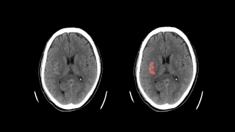
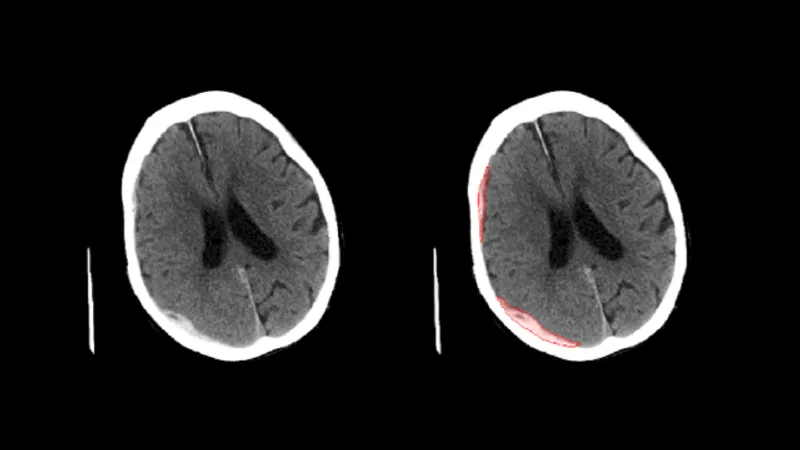
頭部CT画像から 高吸収/低吸収領域及び組織構造・境界の不明瞭化がみられる領域の抽出
利用環境、利用者
本サービスは画像診断ワークステーションで使用されるプログラムで、医師による頭部CT画像読影をサポートするサービスです。本品はクラウドでの使用又は汎用IT機器等にインストールして使用します。
想定効果
頭部単純 CT 画像情報から高吸収・低吸収領域、組織構造・境界の不明瞭化領域の抽出を行います。
サービスの特長
頭部単純 CT 画像の画像情報から、画像に基づく画素値の分析を行い、以下の情報を提供します。 (1) 頭蓋内で周囲及び前後のスライスと比べ高吸収の領域 (2) 頭蓋内で周囲及び前後のスライスと比べ低吸収の領域 (3) 頭蓋内で前後のスライス及び同一スライス内の左右で比較して組織構造もしくは組織境界
効能・エビデンス
「詳細説明希望」ボタンからお問い合わせください
サービス利用上の注意事項
本サービスは、自動的に脳疾患を診断するプログラムではありません。本品の解析結果のみで診断を行わず、医師の責任において最終的な画像診断を行ってください。
データの二次利用
本サービスを利用したデータの二次利用はありません。
医療機器承認・認証番号
認証番号:303AGBZX00043Z00 一般名:汎用画像診断装置ワークステーション用プログラム 製造販売業者住所:東京都千代田区大手町1丁目6番1号
動作環境
Ubuntu 20.04
規格とガイドライン
ISO/JIS Q 13485 IEC 62304/JIS T 2304 ISO14971/JIS T 14971
製造業者による医療情報セキュリティ開示書(MDS)チェックリスト
提供元にお問合せください
導入実績
全国の300を超える医療機関の実臨床で利用
想定利用施設規模
クリニック、急性期病院、健診施設など
初期導入コスト
「詳細説明希望」ボタンからお問い合わせください
ランニングコスト
「詳細説明希望」ボタンからお問い合わせください
無料試用期間
「詳細説明希望」ボタンからお問い合わせください
更新日:



